
一名男子吃母亲节纸杯蛋糕吃得太快,不小心吞下了2英寸(5厘米)的蛋糕。上图,CT扫描显示,如图中红色箭头所示,上衣卡在男子的食道里。
一个男人狼吞虎咽地吃下了一个纸杯蛋糕,结果却吃了不下一颗糖。他狼吞虎咽地吃下了一份母亲节的甜点,以至于没有注意到自己吞下了一块2英寸(5厘米)的蛋糕。
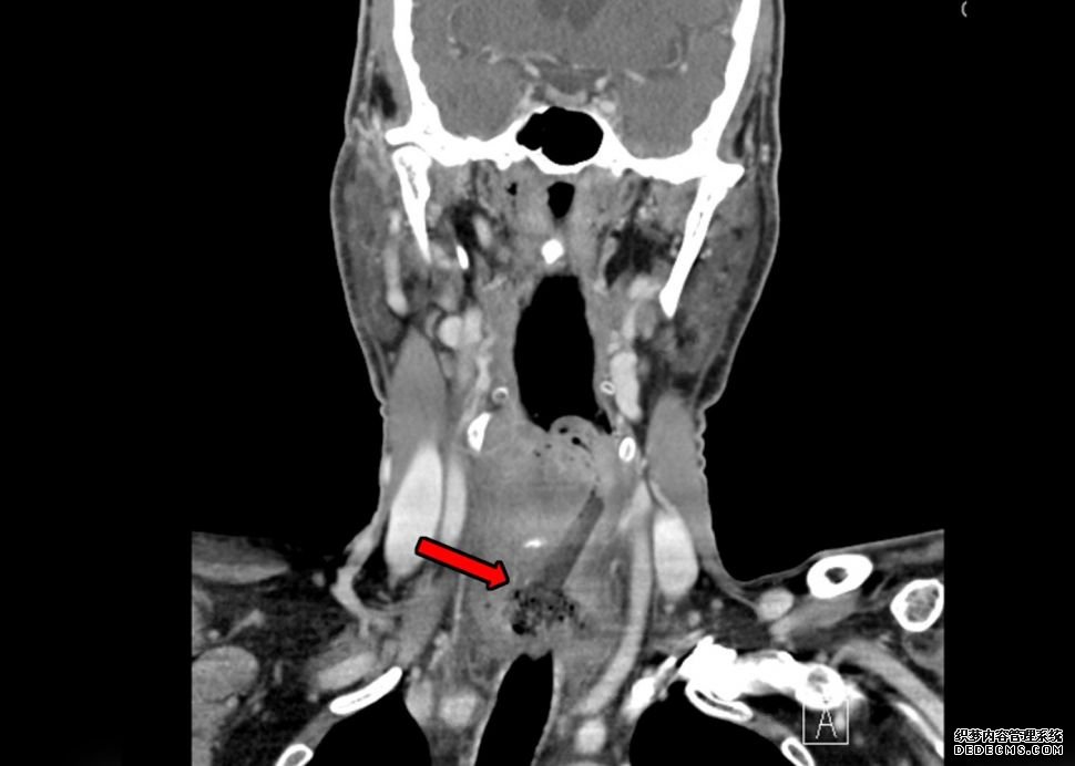
根据一份有关该病例的新报告,这顶帽子上写着“母亲节快乐”,杏耀在医生发现它之前,它在他的喉咙里卡了一个星期。
10月10日发表在《急诊医学杂志》(Journal of emergency Medicine)上的这份报告称,这名60岁的男子在出现喉咙痛、发烧、吞咽困难以及感觉喉咙里有东西卡在喉咙里的症状后,去了急诊室。来自约翰霍普金斯大学医学院的研究人员在报告中写道,这名男子告诉医生,他的症状是在他去急诊室的前一周出现的,在母亲节那天,他匆忙地吃了一个纸杯蛋糕。
从男子的食道取出蛋糕后的图像。上面写着“母亲节快乐”。
这名男子之前曾因咽喉不适到另一家急诊室就诊,但在颈部x光检查未发现异常后出院。
但在约翰霍普金斯大学,医生们要求做CT扫描,结果显示他的食道里有“一个5厘米长的异物”,他们写道。
这名男子接受了上段内窥镜检查,在这一过程中,医生使用一根带摄像头的细软管来检查食道。
报告称,医生看到了一个覆盖着食物残渣的“粉红色异物”,导致该男子食道出现了一个小裂口。在内窥镜检查过程中,医生修复了撕裂处并取出了异物,他们发现这是一个塑料杯形蛋糕。
急诊室的医生经常看到吞食异物的病人。然而,报告称,在大多数情况下,异物会自行排出体外,只有不到20%的病例需要医生切除。
报告说,当异物卡在喉咙里时,食道撕裂是一个令人担忧的并发症,在严重的情况下,可能导致多达18%的患者死亡。
在这种情况下,x光通常是第一次进行成像测试,
杏耀娱乐防劫持教学,但这种测试可能会漏掉塑料和玻璃等物体,这名患者就是这样的情况。
该男子因持续性吞咽困难而住院四天;但到他出院时,杏耀平台他已经能够恢复正常饮食。




