杏耀登陆美国疾病控制与预防中心表示,这种电
所有患者肺液样本均检出维生素E乙酸盐。 最新调查结果显示,专家们终于找到了一个有力的竞争者,来解释电子烟爆发的原因。电子烟爆发...
所有患者肺液样本均检出维生素E乙酸盐。 最新调查结果显示,专家们终于找到了一个有力的竞争者,来解释电子烟爆发的原因。电子烟爆发...
随着全国范围内的电子烟疫情持续扩大,已有近36人死于与电子烟有关的肺部疾病。 今天(10月17日),美国疾病控制与预防中心(CDC)宣布, 杏...
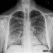
截至上周,美国神秘的电子烟疫情已导致近1,300人肺部受伤,26人死亡,其中包括一些看似健康的年轻人。但是是什么让这些疾病如此严重,...
最近的死亡包括一名17岁的患者, 杏耀娱乐防劫持教学 ,他是此次疫情最年轻的受害者。 美国各地爆发的与电子烟有关的肺部疾病已经导致...
这名17岁的少年在10月4日去世前曾两次住院。 据新闻报道,一名纽约青少年死于与电子烟有关的肺部疾病,他似乎是此次疫情爆发中最年轻...
根据美国疾病控制与预防中心(CDC)的最新报告,与电子烟有关的疾病数量已达到惊人的1080例,其中18人已确认死亡。 美国疾病控制与预防中...
随着与电子烟有关的疾病的神秘爆发持续增加,一项新的研究进一步揭示了可能导致人们生病的原因。 随着美国与电子烟有关的疾病神秘爆...
全国超过四分之三的患者报告使用含有四氢大麻酚的蒸汽产品。 经过数周的调查,美国出现了一起与电子烟有关的肺部疾病的神秘爆发美国...
据卫生官员称,与电子烟有关的肺部疾病的神秘爆发现在几乎席卷了美国的每一个州。 今天(9月26日),美国疾病控制和预防中心(CDC)宣布,...
全国各地的人们继续患上与电子烟有关的神秘肺病,联邦官员透露, 杏耀平台总代的感触 ,他们已经展开刑事调查,以寻找病因。 美国疾...
数周以来,官员们一直在寻找可能导致全国各地一系列与电子烟有关的呼吸系统疾病的原因。现在, 杏耀挂机软件 他们可能找到了一条线索...
过去几周,电子烟已将近100名患有肺部疾病的人送往医院,其中大部分是青少年和年轻人。 美国疾病控制与预防中心(CDC)在一份声明中表示...
Copyright © 2002-2019 杏耀平台-杏耀注册登录链接 版权所有 Power by DedeCms 技术支持:织梦园