
一根鱼刺穿了一个人的肠子。上图中,右上角的x光片显示了该男子内脏中的鱼骨。
一名男子不小心吞下了一小块鱼骨,鱼骨在他的肠子上撕开了一个洞。
根据今天(8月21日)发表在《新英格兰医学杂志》(New England Journal of Medicine)上的一份报告,杏耀流水这名73岁的日本男子在下腹突然出现剧烈疼痛后被送往急诊室。
在医院体检时,这名男子的下腹部有压痛,还有轻微的发烧。这名男子告诉医生,在他开始疼痛的前一天,他吃了黄尾鱼。
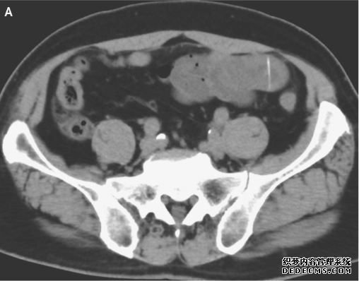
对该名男子腹部的CT扫描显示,他的小肠被“一个线性高密度的身体”刺穿。换句话说,一个看起来很像小骨头的东西卡在了他的肠子里。
该男子接受了手术,医生发现一根2厘米长(0.8英寸)的鱼骨直接穿透了他的小肠。
为了治疗这个病人,医生需要切除他的部分小肠。他还接受了抗生素治疗,以避免任何可能由肠道穿孔引起的感染。根据日本南国高知医学院的医生的报告,这名男子恢复得很好,8天后就出院了。
人们总是不小心吞下鱼骨。但吞下的“异物”在肠内造成撕裂的情况很少见;2014年发表在《世界胃肠病学杂志》(World Journal of Gastroenterology)上的一篇论文称,在被摄入的异物中,导致这种撕裂的病例不到1%。2014年那篇论文的作者们表示,即使是鱼骨,“尽管它们的末端锋利,形状细长”,通常也能通过胃肠道而不会造成问题。
2011年发表在《印度放射学与影像杂志》(Indian Journal of Radiology and Imaging)上的一篇论文称,如果摄入的鱼骨确实会造成问题,它更容易卡在人的喉咙里。
戴假牙的人摄入鱼骨的风险更高,因为他们在吃东西时可能感觉不到嘴里的鱼骨。(该研究的作者没有报告当前病例中患者是否戴了假牙。)其他可能有较高风险吞鱼骨的人包括儿童、老年人和喝醉时吃鱼的人。
Healthline说,
杏耀平台 ,人们可以通过购买鱼片来降低吞食鱼骨的风险,杏耀游戏因为鱼片中隐藏的鱼骨往往比整条鱼少。此外,少量进食和细嚼慢咽有助于降低风险。



